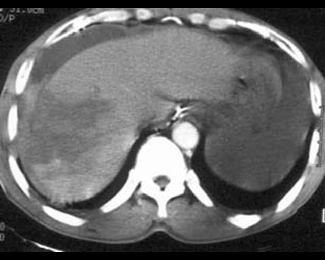
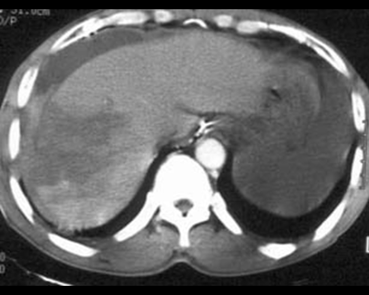
I’ve never quite been sure of the derivation of the phrase. A perfect example of its use is in a slide such as this.
There is simply so much “going on” in this image that the audience will be unable to derive meaning from any of the images (or worse still from the speech) because they are trying to decide which image to actually look at. Help the audience and simply project each image as required. (It’s a Grade IV Liver laceration)

